Cinematheque KOFA

Current Programme

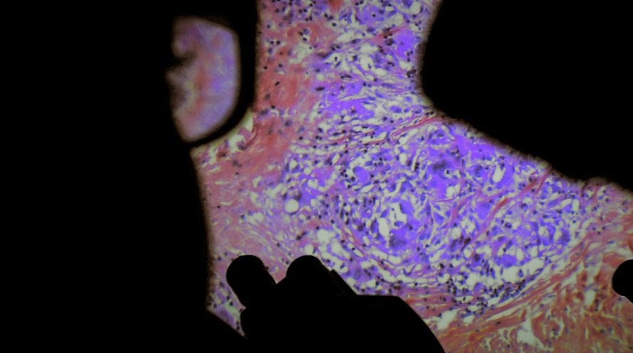
The Fabric of the Human Body

2022 | 118min | D-Cinema |
KMDb
"In their thrilling new work of nonfiction exploration, Véréna Paravel and Lucien Castaing-Taylor, best known for such aesthetically and ethnographically revelatory films as Leviathan and Caniba, burrow deeper than ever, using microscopic cameras and specially designed recording devices to survey the wondrous landscape of the human body. More transfixing than clinical, the film, shot in hospitals in and around Paris, eschews the normal narrative parameters for medical documentation in favor of a rigorously detached, expressionistic look at our tactile yet essentially unknowable flesh and viscera. With its unshakable images of biopsies, cesarean delivery, endoscopic procedures, and the little-seen crevices inside all of us, De Humani Corporis Fabrica both demystifies and celebrates life and death." Film at Lincoln Center
 
Related Programme
My Own Private Top Ten Films of 2022 2023.01.16.Mon ~ 01.28.Sat
  • 2022.12.27.Tue 16:00 Cinematheque 1

  • 2022.12.30.Fri 19:00 Cinematheque 1

Pre